商丘市中心医院磁共振室是河南省医学重点(培育)学科。始建于1996年,是商丘是周边地区首家引进磁共振成像仪的医院,开创了商丘周边地区医学影像诊断的新纪元。2009年,我科室首家引进美国GE公司生产的Signa 1.5T磁共振成像扫描仪,是苏鲁豫皖交界地区首台最先进的高场强磁共振成像系统。磁共振对颅脑、脊髓、上腹部、盆腔、骨关节、乳腺及软组织等部位的检查是最有效的影像诊断方法。自开诊以来积累了丰富的临床经验,解决了许多复杂及疑难病症的诊断问题,得到广大患者和医务工作者的一致好评。2022年荣获商丘市科学技术普及成果奖一等奖。
磁共振室技术力量雄厚,拥有主任医师1名,副主任医师1名、医师2人、主管技师2人、技师4人、主管护师1人。
联系电话:0370 5075583
磁共振适用范围
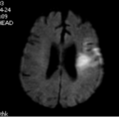
一 颅脑疾病:对脑血管疾病(脑梗死、出血、动静脉畸形、动脉瘤等)、脑肿瘤、炎性病变、脑白质病变、退行性病变及先天畸形具有明确优势。
二 脊柱及脊髓病变:MRI是首选检查方法。适用于脊柱及脊髓肿瘤、感染、炎性病变、外伤、脊髓空洞及椎间盘突出等。
三 五官和颈部疾病:MRI是重要的检查方法。尤其适用于五官和颈部肿瘤和肿瘤样病变的诊断和鉴别诊断,对眼黑色素瘤可做出定性诊断,是鼻咽癌、喉癌的首选检查方法。
四 腹部和盆腔:主要用于腹部和盆腔的肿瘤样变,囊肿及炎性病变的诊断和鉴别诊断,是子宫、前列腺病变的首选影像学检查方法。
MRCP和MRU可无创性了解胆管和输尿管梗阻或狭窄的程度和病变性质。高分辨MRI对盆腔病变的诊断和鉴别诊断提供更多的诊断价值和依据。
五 骨关节病变和软组织病变:MRI是膝关节、髋关节和软组织病变及某些骨病的首选检查方法,尤其是对关节内部结构的显示更佳(如膝关节骨软骨、韧带及半月板)。
六 心脏和大血管:心脏电影和磁共振血管成像可用于先天性心脏病、心肌疾病、心包疾病和心脏大血管病变的诊断。
七 肺和纵膈病变:肺部病变首选CT,但纵膈肿瘤和肿瘤样病变首选MRI检查,肺门、胸膜、胸壁病变可选用MRI检查。
八 新型高端1.5T/3.0T磁共振可用于乳腺疾病筛查、临床诊断和预后评估。
联系电话:0370-2781646

高分辨磁共振对直肠癌显示及分期更清晰、直观

MRCP示胆总管结石并以上系扩张

MRA示右基底动脉开窗 DWI示急性脑梗死